Hiện nay tình hình sức khỏe răng miệng cần được quan tâm nhiều vì sức khỏe răng miệng rất quan trọng đối với chúng ta. Đa số chúng ta quan tâm đến việc vệ sinh răng miệng là chính yếu, bên cạnh đó các bạn cũng nên chú ý đến một số hiện tượng sau để có thể điều trị kịp thời.
Hiện tượng răng bị sai khớp cắn sẽ làm hàm răng của bạn không thẳng đều, làm mất thẩm mỹ. Ngoài ra, cấu trúc hàm răng sai khớp cắn sẽ rất khó vệ sinh răng miệng nên có thể gây bệnh sâu răng và viêm lợi. Đối với bệnh lý này thì cách điều trị hiện nay được áp dụng rộng rãi đó là niềng răng thẩm mỹ.
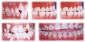
Trước tiên các bạn cần nhận dạng một số dạng sai khớp cắn như sau: Hiện tượng răng khấp khểnh, chen chúc, hàm hô, hàm móm, khớp cắn sâu…
Nếu các bạn nhận thấy có thể mình mắc phải một trong số những khuyết điểm trên về sai khớp cắn thì các bạn có thể tiến hành niềng răng để khắc phục lại các nhược điểm trên.
Về chi phí niềng răng hết bao nhiêu tiền được tính dựa theo khí cụ mà bệnh nhân lựa chọn để niềng răng là loại nào, sau đây là bảng chi phí niềng răng để các bạn tham khảo:
| Chụp Phim Toàn Cảnh Panorex – Sọ Nghiêng Cephalo (Niềng răng chỉnh nha) | 100.000đ/ phim (MIỄN PHÍ cho BN chỉnh nha tại Đăng Lưu) |
| – Ốc Nông Rộng | 5.000.000 – 10.000.000đ |
| – Mắc cài Inox đơn giản | 18.000.000 – 20.000.000đ |
| – Mắc Cài Inox từ trung bình đến phức tạp | 28.000.000 – 30.000.000đ |
| – Mắc Cài tự đóng (inox) đơn giản | 28.000.000 – 30.000.000đ |
| – Mắc Cài Tự Đóng (Inox) từ trung bình đến phức tạp | 36.000.000 – 38.000.000đ |
| – Mắc Cài Sứ đơn giản | 32.000.000 – 34.000.000đ |
| – Mắc Cài sứ từ trung bình đến phức tạp | 36.000.000 – 38.000.000đ |
| – Mắc Cài Tự Đóng (Sứ Trắng) đơn giản | 40.000.000 – 42.000.000đ |
| – Mắc Cài Tự Đóng (Sứ Trắng) từ trung bình đến phức tạp | 46.000.000đ – 48.000.000đ |
| – Mắc Cài Mặt Trong đơn giản | 80.000.000 – 100.000.000đ |
| – Mắc Cài Mặt Trong từ trung bình đến phức tạp | 120.000.000 -140.000.000đ |
| – Niềng Răng không mắc cài 3D Clear dưới 6 tháng | 16.000.000đ |
| – Niềng Răng không mắc cài 3D Clear 6 tháng đến 1 năm | 30.000.000đ |
| – Niềng Răng không mắc cài 3D Clear 1 năm đến 1,5 năm | 44.000.000đ |
| – Niềng Răng không mắc cài 3D Clear 1,5 đến 2 năm | 58.000.000đ |
| – Niềng Răng không mắc cài 3D Clear trên 2 năm | 72.000.000đ |
Để biết chính xác hơn về đặc điểm các loại khí cụ này thì các bạn nên đến nha khoa để được tư vấn kỹ hơn và các bạn có thể quyết định nên chọn lựa loại khí cụ nào để niềng răng tốt nhất.












